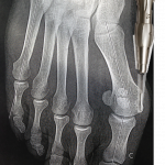
Hallux valgus
L’hallux valgus est une déformation de l’avant-pied qui concerne le gros orteil qui est dévié vers l’extérieur, entraînant une saillie au bord interne du pied appelée communément « oignon ».
Lire la suite…
Se faire opérer ?
Devant chaque patient, le geste chirurgical proposé doit répondre aux symptômes. Il faut savoir refuser d’opérer un patient sans symptômes, pour le protéger contre lui-même.
Lire la suite…
Chirurgie percutanée
Depuis près de 10 ans, la chirurgie percutanée a transformé la prise en charge des pathologies du pied comme l’hallux valgus. Les taille millimétriques des cicatrices ne doit pas faire oublier qu’il s’agit d’authentiques gestes opératoires.
Lire la suite…
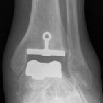
Prothèses de cheville
Le développement récent des prothèses de cheville a abouti à une solution fiable et innovante dans le traitement de l’usure articulaire de la cheville. Elles sont à présent une alternative sérieuse à l’arthrodèse.
Lire la suite…






